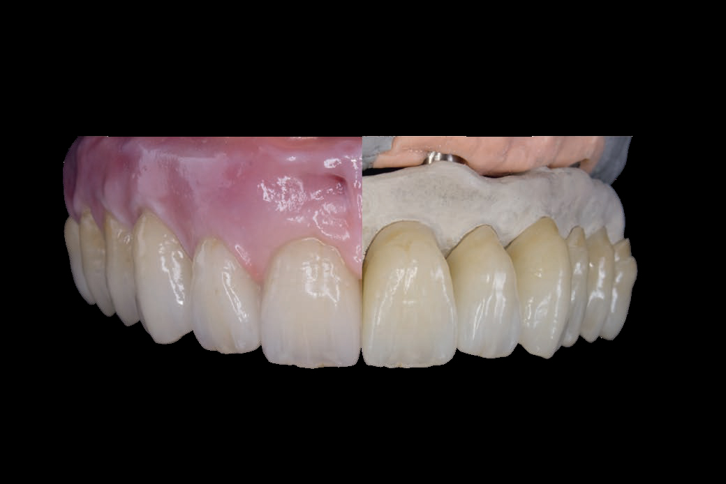
Hybrid Ceramic Restoration on PEEK Frame
Polyetheretherketone (PEEK) is a material that has been tried and tested in medicine for years. Due its good mechanical properties, resistance to high temperatures and chemical resistance, it has been used in surgery as a material for knee replacements, spinal surgery and hip prostheses. Now PEEK can be used for dentures as well, because PEEK combines excellent biocompatibility with bone-like properties. Scaffolding for dentures can be produced from industrially manufactured blanks using CAD/CAM technology.

- Benefits
- Can be digitally designed and milled to match patient’s anatomy
- It is strong and lightweight for improved patient comfort
- Metal free and hence may be used even by patients with allergy to metals
- Neutral taste (no metal taste)
- No thermal or electrical conductivity
- No irritation, redness or burning sensation for the user
- No residual solvent
- Tough and durable with a melting temperature of 340°C
- Resistant against deposits and staining
- Soft tissue stays healthy
- Inconspicuous colour of the framework
- No abrasion of the antagonist
- Pure material- No additives are used, no colouring
- Proven purity in global implanted devices
- No foreign body sensation
- High comfort of wear due to low weight and immediate absorption of body heat
- Shock absorbing behaviour improves patient comfort
- Very low solubility and water absorbency, enabling wearing of removable dentures for a longer time without any problems.



Order Peek For Your Patient Today!
It’s easy to get started with K-Tech Dental Lab.

“We have been working with K-Tech Dental Lab for almost three years now. Not only do we receive a great product from them but they have excellent staff and customer service. ”
DR. JAMES, R. DDS